Rendelőnkről
Magánrendelőnk 2020-ban nyitotta meg kapuit Ferencváros szívében, a Mester utcában. A helyszín kiválasztásakor fontos szempont volt számunkra, hogy egy frekventált, jól megközelíthető helyet válasszunk, mely pácienseink számára könnyen elérhető. A rendelőt pedig úgy alakítottuk ki, hogy otthonos, barátságos legyen minden belépő számára.
Fogorvos házaspárként a kezdetektől egyértelmű volt számunkra, hogy előbb-utóbb saját rendelőben szeretnénk kamatoztatni az eddig szerzett tapasztalatainkat. Célunk az volt, hogy egy olyan rendelőt hozzunk létre, ahol mi és pácienseink is jól érzik magukat, és emellett a lehető legmagasabb szakmai színvonalat biztosítsuk azoknak, akik minket tisztelnek meg a bizalmukkal.
Munkánk során a precizitás a legfontosabb, ezért nagyításban dolgozunk, modern eszközöket használunk és az úgynevezett "slow dentistry" elvét valljuk, vagyis hiszünk abban, hogy jó munkához idő kell. Nem futószalagon kezeljünk a hozzánk forduló pácienseket, az időpontokat úgy alakítjuk, hogy mindig legyen elég idő a kezelési terv és a kezelés részletes magyarázatára, valamint a minőségi munkára.
Bízunk abban, hogy Ön is élvezni fogja majd a nálunk töltött perceket, kellemes élményekkel és ragyogó fogakkal távozik!
Fogorvosaink
Dr. Bacsa Alexandra
fogorvos
Dr. Csider Andor
fogorvos, konzerváló fogászat és fogpótlástan szakorvos
Dr. Fekete Adél
fogorvos, konzerváló fogászat és fogpótlástan szakorvos
Dr. Király Gyula
fogorvos, konzerváló fogászat és fogpótlástan szakorvos
Dr. Komlós György
fogorvos, dento-alveolaris sebész szakorvos, implantológus
Dr. Le Thien Dóra
fogorvos, konzerváló fogászat és fogpótlástan szakorvos
Dr. Mikola Éva
fogorvos, konzerváló fogászat és fogpótlástan szakorvos
Dr. Papócsi Petra
fogorvos, dento-alveolaris sebész szakorvos
Dr. Svidró Eszter
fogorvos, fogszabályozó szakorvos
Dr. Tajti Péter
fogorvos, fogpótlástan szakorvos
Dr. Tar Fábián
fogorvos, parodontológus szakorvos
Fogászati asszisztenseink
Anka Andrea
fogászati asszisztens
Balogh Judit
fogászati asszisztens, klinikai fogászati higiénikus
Csontos Gabriella
fogászati asszisztens, klinikai fogászati higiénikus
Gabnai Anita
fogászati asszisztens
Kele Gabriella
fogászati asszisztens
Mészáros Ágnes
fogászati asszisztens, klinikai fogászati higiénikus
Szalai Zsófia
fogászati asszisztens, klinikai fogászati higiénikus
Szmolár-Szabó Gabriella
fogászati asszisztens, klinikai fogászati higiénikus
Új pácienseinknek
Nagyon sokan tartanak a fogorvosoktól, a fogorvosi vizsgálatoktól, beavatkozásoktól és ezt a félelmet nem könnyű leküzdeni. Ebben szeretnénk segíteni azzal is, hogy egy átfogó képet adunk az alábbiakban arról, hogy mi is történik nálunk első alkalommal, illetve, hogy mivel is érdemes készülni a vizsgálatra.
Hogyan készüljön fel a vizsgálatra?
- Először is, a legfontosabb, hogy próbáljon meg nem izgulni! Kezeléseink során törekszünk a barátságos légkör megteremtésére és a teljes fájdalommentességre, azonban ha mégis tartana ettől, akkor sem kell aggódnia, hiszen első alkalommal általában csak állapotfelmérést, szájvizsgálatot végzünk, vagyis beavatkozás, érzéstelenítés nem történik.
- Amennyiben rendelkezik korábbi fogászati leletekkel, röntgenekkel, azt hozza magával az első találkozásra, vagy küldje el nekünk emailben, nagy segítség lehet a kezelési terv összeállításánál.
- Hozzon magával fogkefét, fogkrémet!
- Hölgyeknek az ékszerekkel, sminkkel csak óvatosan.
- Induljon időben! A kapkodás, sietség csak tovább növeli a stressz szintet, míg ha időben érkezik, elegendő idő lesz az adminisztrációra, a környezet megismerésére, szükség esetén fogmosásra.
Mi történik a rendelőbe való belépéstől a fogorvosi székig?
- Érkezés után egy ún. anamnézis lapot kell kitölteni, mely néhány – a páciens nyilvántartáshoz szükséges – személyes adat feltüntetését, valamint korábbi betegségekkel, műtétekkel, esetleges allergiával kapcsolatos kérdés megválaszolását jelenti.
- Ezután míg mi regisztráljuk rendszerünkbe, Ön kényelmesen elhelyzkedhet a várónk valamelyik fotelében. Gondoltunk azokra a pácienseinkre is, akik minden percet kihasználva dolgozni szeretnének, így a váróban több konnektor is található a mobiltelefonok, laptopok töltésére.
- Amennyiben korábban nem volt lehetősége, a mosdóban alaposan, kényelmesen fogat moshat (ha esetleg elfelejtett saját fogkefét hozni, tudunk biztosítani egyszer használatos verziót is, bár ezt környezetvédelmi okok miatt próbáljuk kerülni).
- Regisztráció után asszisztens kolleganőnk elkészíti az Ön panoráma röntgen felvételét. Ehhez nyaktól felfelé minden ékszert, piercinget, fémes eszközt távolítson el.
- Minimális várakozás (mialatt az Ön kezelőorvosa felkészül a vizsgálatra, tanulmányozza az anamnézis lapot és a röntgen felvételeket) után a kezelőorvosa fogja szólítani a kezelőhelyiségbe.
Mi történik az állapotfelmérés és fogorvosi vizsgálat során?
- Orvosával az anamnézis lap áttekintése után megbeszélheti a panaszait, valamint a kezeléssel kapcsolatos elvárásait.
- Szájon kívüli (ún. extraorális) vizsgálat és rákszűrés következik: kezelőorvosa a feji és nyaki nyirokcsomók tapintását, arc, ajkak, nyálkahártyák vizuális vizsgálatát végzi.
- Fogainak aktuális állapotát a kezelőorvosa az asszisztens kolleganő segítségével rögzíti a rendszerünkben – nem kell megijedni a sok idegen, latin szótól, idővel mindent elmagyarázunk!
- Fotódokumentációt végzünk a kiindulási állapotról
- A vizsgálat és röntgenek, valamint a panaszok alapján összeállítjuk az Ön személyre szabott előzetes kezelési tervét, valamint az egyedi árajánlatát.
- Átadjuk és együtt átbeszéljük a tervet, megoldási alternatívákat.
- Amennyiben elfogadja az Ön számára készült kezelési tervet, időpontot egyeztetünk a kezelés megkezdésére.
Környezettudatos fogászat
Rendelőnk dolgozói számára fontos a környezetünk védelme, így munkánk során is törekszünk arra, hogy a lehetőségekhez mérten környezettudatosan működjünk. Sajnos egyelőre a fogászati praxisok távol állnak a manapság divatos 'zero waste'-től, de hiszünk abban, hogy apró lépésekkel is tehetünk Földünk megóvásáért.
Milyen környezettudatos lépéseket teszünk rendelőnkben?
- a környezetre káros, a röntgenfilm előhíváshoz használt fixáló folyadék helyett rendelőnkben digitális röntgenfelvételeket készítünk – ez jelentősen kisebb sugárterheléssel is jár, mint a hagyományos filmes röntgen
- szelektíven gyűjtjük a szemetet
- a páciensdokumentációt legtöbbször digitálisan végezzük, ha nyomtatásra kerül sor, környezetbarát papírt használunk
- nem készítünk amalgámtöméseket, azok eltávolításakor a környezetbe jutást pedig speciális amalgámszűrő rendszer segítségével akadályozzuk meg
- vegyszeres sterilizálás helyett modern gőzzel működő autokláv rendszert használunk
- folyamatosan keressük a különböző fogászati termékek öko-alternatíváit (pl. bambusz fogkefe)
- energiatakarékos izzók, mozgásérzékelő lámpák használatával mérsékeljük energia fogyasztásunkat
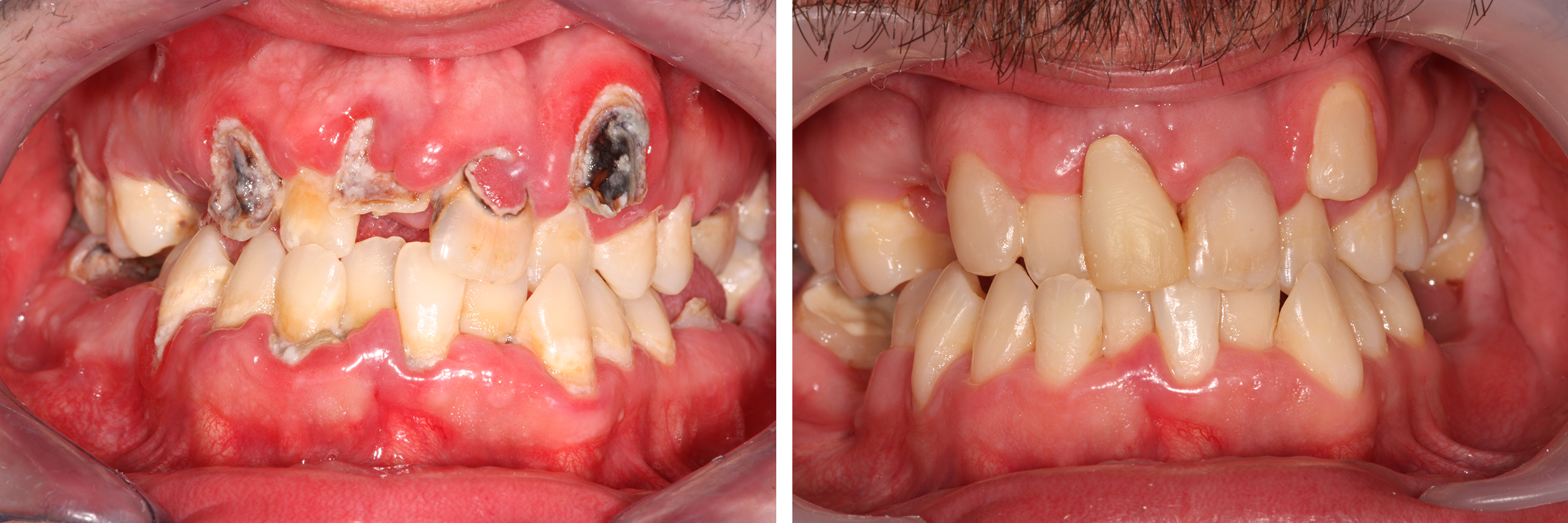
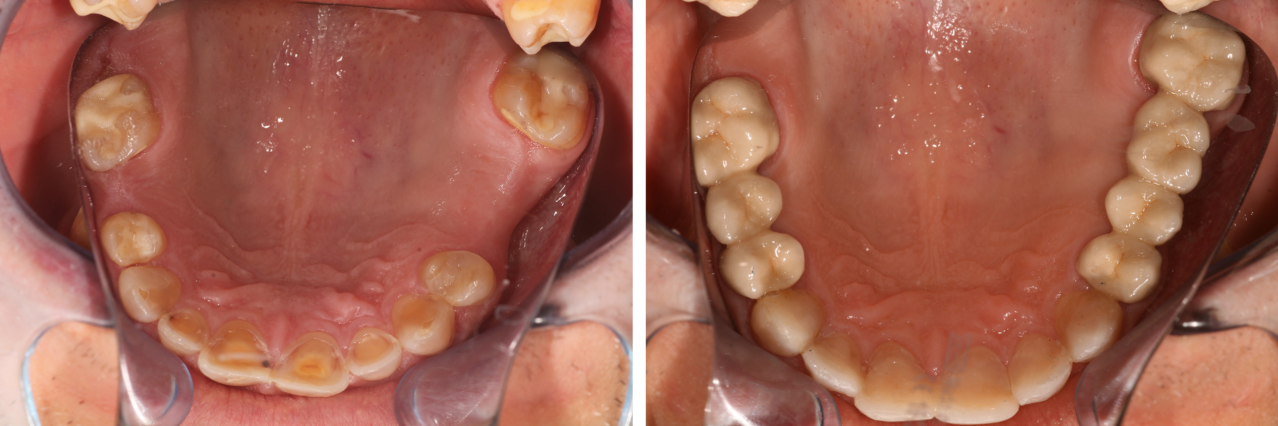
Munkáink
Galéria