Hétfő – Péntek 08:00 – 20:00
+36 30 400 9064
Főoldal
Rólunk
Rendelőnkről
Munkatársak
Új pácienseinknek
Munkáink
Galéria
Kezelések
Állapotfelmérés
Betét/Inlay/Onlay
Cirkónium/porcelán korona
Esztétikus tömések
Fogászati CT
Fogfehérítés
Foghúzás
Fogkőeltávolítás
Fogszabályozás
Gyermekfogászat
Gyökérkezelés
Implantátum
Kismama fogászat
Kivehető fogpótlás
Kofferdám izolálás
Mikroszkópos kezelés
Parodontológia
Árak
Kapcsolat
Időpontfoglalás
Elérhetőség
Megközelítés
Blog
Blog
Mi alapján válasszak fogselymet? – A fogselymek típusai és használatuk
Tovább
A láthatatlan sínes fogszabályozás előnyei
Tovább
Fogászati implantátumok – előnyök, legfontosabb tudnivalók
Tovább
Ínyvérzés – normális, ha vérzik az ínyem?
Tovább
Lézeres fogfehérítés - előnyei, menete, tudnivalók
Tovább
Diódalézer a fogászatban
Tovább
Kellemetlen lehelet – mit tehetek ellene?
Tovább
Mit tegyünk az ünnepek alatt fogfájás esetén?
Tovább
Miért nem kell félni a fogászati röntgenek okozta sugárterheléstől?
Tovább
5 ok, amiért nem diagnosztizálunk röntgen nélkül
Tovább
Ajakherpesz - herpes labialis
Tovább
Fogszuvasodás - lyukas fogak kialakulásának oka, kezelése
Tovább
Láthatatlan fogszabályozás
Tovább
Digitális fogászat: intraorális szkenner a rendelőnkben
Tovább
A fognyaki érzékenység kezelése
Tovább
Rögztített fogszabályozó készülék tisztítása
Tovább
Normális, ha gyökérkezelés után fáj a fogam?
Tovább
A rendszeres fogászati ellenőrzés és tisztítás fontosságáról
Tovább
Afták a szájban: előfordulás, okok, kezelés
Tovább
Mitől függ a tömések ára?
Tovább
Porcelán héjak készítése rendelőnkben
Tovább
Mennyibe kerül az implantációs fogpótlás?
Tovább
A szájvizek használatáról dióhéjban
Tovább
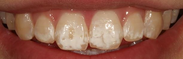
Fehér foltok a fogakon
Tovább
Milyen gyakran cseréljük le a fogkefénket?
Tovább
Ki az a dentálhigiénikus?
Tovább
A fogak barnás elszíneződései
Tovább
Ajándékutalvány
Tovább
Mi az a fogkő és miért kell eltávolítani?
Tovább
Fogkrém választási kisokos
Tovább
Milyen fogkefét válasszak?
Tovább
Mindent a bölcsességfogakról
Tovább
Helyes táplálkozással a szép és egészséges fogakért
Tovább
Fogmosási tippek
Tovább
Kismamáknak - mindent a fogászati kezelésekről
Tovább
Foglaljon időpontot most telefonon vagy akár online űrlapunkon
+36 30 400 9064
Foglalás online
↑